Sorridi, e il mondo sorriderà a te.

(Anonimo)

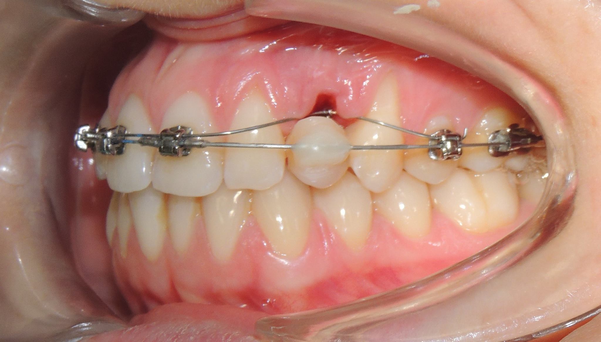
Canino in grave inclusione palatina

DRP + 2X2

17 dicembre 2016Disgiuntore Rapido del Palato e 2x2

DRP + 2X2
 

Cambiamenti

22 marzo 2017introduzione al caso

Cambiamenti
 

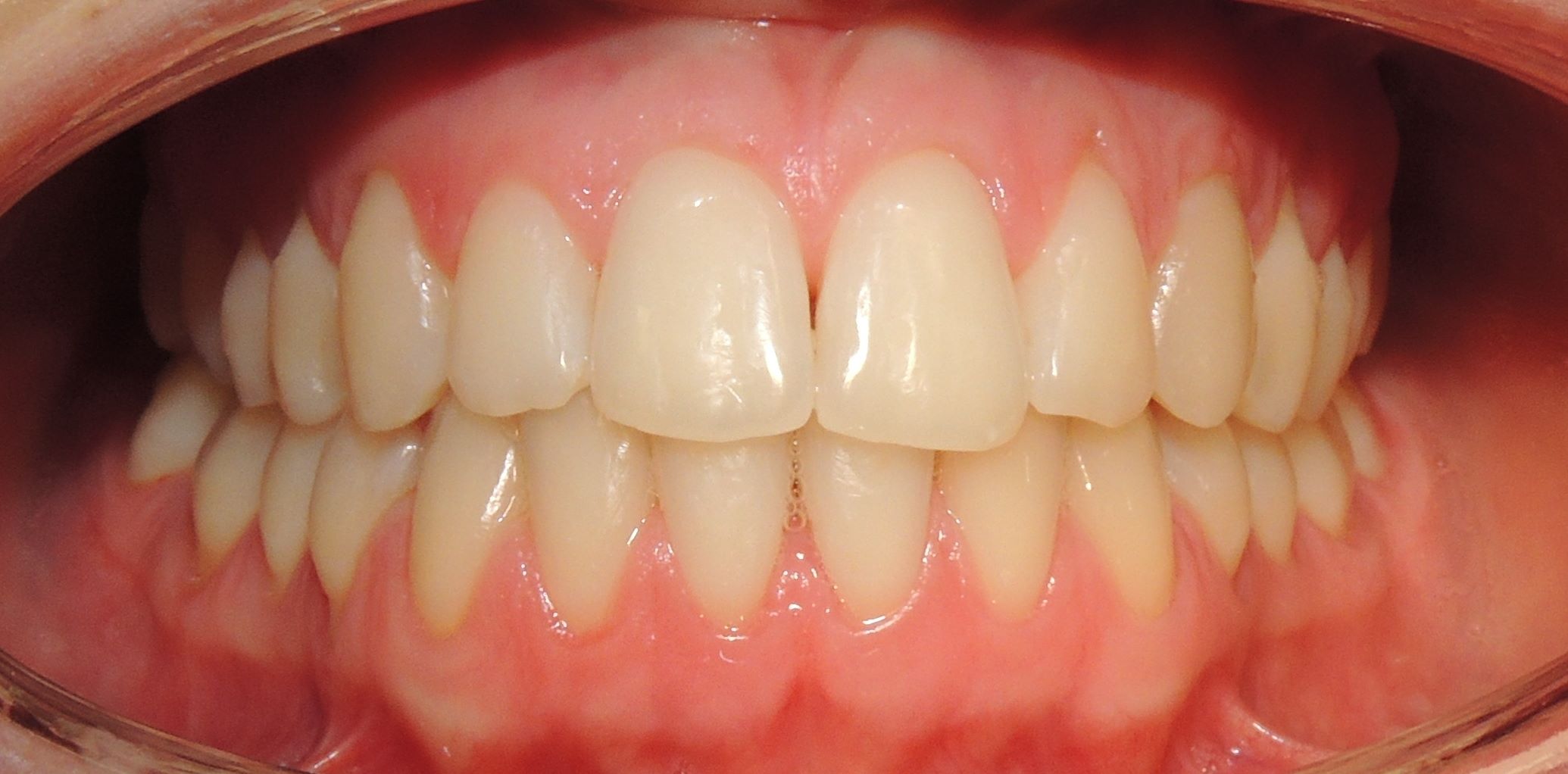
Invisalign

16 giugno 2017Caso Invisalign

Invisalign
 
 
 
 Back
to top